
Some dental conditions are quiet. Too quiet, in fact. Odontomas fall into that category. They rarely make noise, yet they change things beneath the surface. And people usually have no idea about them. While malocclusions, teeth shifting , discoloration, or other cosmetic dental issues are fairly well known, odontomas are not.
So, an odontoma is technically a type of tooth tumor. It’s benign, harmless, but oddly structured. Hence, it can interfere with tooth eruption, displace teeth, or cause swelling. However, there’s more to it. Here’s a deeper dive.
Some people call it a tumor in teeth. Others say dental odontoma. Professionals stick with “odontoma.”
An odontoma is a dental tumor made of the same materials your teeth are made of. Enamel, dentin, cementum, and pulp. So it’s like your mouth accidentally decided to grow a tooth… inside or beside a tooth. Almost like teeth twins, but not the right kind.
It’s classified as a benign tumor, so it doesn’t spread or cause cancer. But it does get in the way. And that’s the main reason it needs attention. That being said, how does an odontoma form?
Scientists still don’t fully know why odontomas form. Genetics plays a role. Trauma too. Sometimes a hit to the face sets off strange growth patterns in developing teeth. Developmental issues are also a possibility.
Then there are people who’ve done absolutely nothing, but with a chance X-ray, find something resembling a tiny, confused molar hiding in their jaw. Life is wild like that. The important thing to know is this: odontomas don’t happen because of poor hygiene, bad habits, or neglect. They aren’t your fault.
With that said, odontomas are of two major types. Let’s explore them a bit.
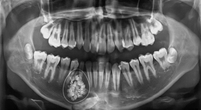
Odontomas come in two main varieties: Compound and Complex.
These look like tiny, fully formed teeth. Little “denticles.” Almost adorable, if you forget they’re growing inside your jaw. Compound odontoma teeth clusters usually appear in the anterior (front) section of the upper jaw.
These are more chaotic. A jumbled mass of enamel and dentin that doesn't resemble any recognizable tooth shape. Imagine the building materials of a tooth thrown into a blender. Complex odontomas are typically found in the molar area.
Because location, shape, and density affect odontoma removal, planning, imaging, and sometimes symptoms. Not always dramatically, but enough that your dentist cares. You, on the other hand, only need to remember: one looks like tiny teeth, the other looks like a confused tooth asteroid.
Now, besides the types, are there any symptoms of odontomas?
Here’s the odd thing. An odontoma dental problem rarely causes pain. So most people don’t know they have it until an X-ray catches it by accident during braces prep, wisdom tooth checks, routine exams, or after a dental injury. But when there are symptoms, they tend to look like this:
Most of these occur because the odontoma blocks normal tooth eruption. It’s like a traffic jam in your mouth. One stubborn little structure holding up the entire dental lineup.
Diagnosis is actually the easiest part.
A regular dental X-ray usually reveals the mass. Sometimes, a compound odontoma looks so distinct (with its tooth-like bits) that dentists identify it instantly.
When more detail is needed, for example, to plan odontoma surgery, a CBCT scan gives a 3D map of the area. Helpful for avoiding nerves and roots.
This includes your symptoms, eruption patterns, and any visible swelling. However, it alone is not enough and might require a CBCT or X-ray for proper evaluation.
Now, the big question: Are Odontomas Dangerous?
No. They aren’t dangerous, per se. But they can cause problems indirectly if ignored. Even benign things can create a domino effect. An untreated dental odontoma can:
So while it’s not life-threatening, it is worth addressing. Especially early.
You might hear the word “tumor” and instinctively panic. That’s fair. The word carries weight. But a dental tumor like an odontoma isn’t like other tumors people worry about. It doesn’t metastasize. It doesn’t threaten your life.
Think of it as an overenthusiastic tooth that doesn’t know when to stop forming. Complications if you ignore an odontoma:
These aren’t minor. A delayed treatment today becomes a complicated treatment tomorrow. With that said, if someone has odontoma teeth, how can they treat it?
Let’s dive into the heart of this topic: Odontoma treatment. The way dentists deal with these growths depends on size, location, symptoms, and whether the growth is blocking a tooth.
There is no medication for this. No waiting it out. No magical dissolving solution. The only real option is odontoma surgery, which sounds more dramatic than it is. In most cases, odontoma removal is:
A small incision is made in the gum. The odontoma is gently accessed, removed, and the area is cleaned. Simple as that.
A few possibilities:
The surgery itself? Usually not, anesthesia handles that. Post-op discomfort varies. Some people feel mild soreness for a day or two. Others bounce back like they never had a tumor in their teeth. Painkillers, soft foods, and a mildly annoying healing process are normal. Nothing extreme.
Depending on the case:
Sometimes, treatment is a tag-team effort.
Because odontomas often form during tooth development, they’re found in younger age groups. That doesn’t mean adults can’t get them; they absolutely can, but discovery is more frequent in children.
Many parents mistake delayed tooth eruption for genetics or “just a slow tooth.” Sometimes that’s true. But sometimes, there’s a tiny stowaway tooth structure blocking the path.
Recovery depends on the odontoma’s size. A tiny one? You might barely remember the surgery. A large complex odontoma? Expect a few days of swelling. General recovery tips:
The good news: most patients recover impressively fast.
Not everyone gets immediate surgery. Sometimes appointments take time. Meanwhile, what should you do?
And try not to stress, it’s manageable.
If you suspect:
…ask for an X-ray. Simple, quick, revealing.
Not really. There’s no proven way to prevent an odontoma dental issue from forming. But regular checkups ensure early detection, which is even better. Catch it early, remove it early, and move on with your life.
There’s something strangely fascinating about these benign tumors. They’re made of tooth material but aren’t exactly teeth. They’re harmless but disruptive. They’re rare in conversation but common in dentistry.
What matters most is this: odontomas are treatable, predictable, and rarely cause long-term harm when addressed promptly. Your dentist knows what to do. The surgery is routine. The recovery is reasonable. And your mouth? It gets to return to its regularly scheduled programming.
Curated the best for your knowledge
Odontomas: What They Are and How They're TreatedSome dental conditions are quiet. Too quiet, in fact. Odontomas fall into that category. They rarely make noise, yet they change things beneath the surface. And people usually have no idea about them. While malocclusions, teeth shifting, discoloration, or other cosmetic dental issues are fairly well known, odontomas are not. So, an odontoma is technically a type of tooth tumor. It’s benign, harmless, but oddly structured. Hence, it can interfere with tooth eruption, displace teeth, or cause swelling. However, there’s more to it. Here’s a deeper dive.
Read More
Gingivitis Treatment: How to Reverse Early Gum DiseaseGingivitis tends to creep up quietly, usually after a stretch of rushed brushing or nights where flossing just slips your mind. The first sign is often bleeding when you spit toothpaste into the sink. That moment makes people Google how to cure gingivitis, which is honestly the right instinct. Early gum inflammation happens because plaque irritates the tissue around the teeth. If you respond quickly, it is fully reversible. Most cases improve quickly with proper cleaning, hydration and small tweaks in daily habits. The key is not ignoring those early red or puffy gum signals.
Read More
Metallic Taste in Mouth: Causes and How to Get Rid of ItHaving metal taste in the mouth first thing in the morning can be an unexpected experience. You wake up, take a swallow, and suddenly have a metallic taste in your mouth, as if you'd been chewing on a handful of change. It's annoying, a little scary, and sometimes for no apparent reason. For some people, it will be nothing but a minor nuisance; others may fall into the late-night goose chaser. Sometimes it's a sign that there is something wrong with your braces; other times, it could mean that there is something wrong with one of your teeth. But here's the good news: Most metallic tastes are temporary, harmless, and can be treated or resolved. So let's take a closer look at the possibilities.
Read MoreQuick Links

Heading