
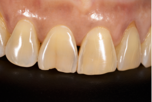
Chipping a tooth can happen to anyone, one wrong bite on something hard, a fall, or even grinding your teeth too much at night. It might look or feel small, but that little chip can cause sensitivity, pain, or bigger damage if ignored.
The good news? Fixing a chipped tooth doesn’t always mean breaking the bank. Let’s go through what really affects the chipped tooth repair cost, what options you’ve got, and how to know which one’s right for you.
A chipped tooth isn’t always an emergency, but it’s never something you should just ignore. Sometimes it’s just the enamel that’s damaged, and it only needs a quick polish or bonding. Other times, the chip goes deeper, and that’s when it can expose the nerve or make the tooth more sensitive to heat, cold, or pressure.
You might notice:
If that’s the case, it’s time to see a dentist before it turns into a full crack or infection.
Not every chip is treated the same way. The cost to fix a chipped tooth depends on:
Basically, the more damage and detail involved, the higher the chipped tooth repair cost. So, let’s break down the different treatments and what you can actually expect to pay.
Here’s a quick look at the most common ways to repair a chipped tooth and what each might set you back:
| Treatment | Best For | Average Cost (UK) | Durability |
|---|---|---|---|
| Dental Bonding (Composite) | Small chips, front teeth | £200-£400 per tooth | 3–10 years |
| Filling (Amalgam) | Minor chips on back teeth | £60–£150 per tooth | 5–10 years |
| Veneers | Cosmetic front-tooth repairs | £400–£1,400 per veneer | 10–15 years |
| Crown | Larger breaks or deep chips | £400–£1,200 per tooth | 10–15 years |
| Root Canal + Crown | Chips exposing the nerve | Root Canal: £300 and £800 per tooth Crowns: £600 to £1000 per crown |
Long-term protection |
So, depending on the damage, the cost of fixing a chipped tooth can be anywhere from under £100 to over £1,000 - but the earlier you get it fixed, the cheaper it usually is.
Yes - and you definitely should.
A chipped back tooth might not affect your smile, but it plays a big role in chewing. If you leave it, the chip can get deeper and lead to fractures or decay.
For smaller chips, a simple filling or bonding can work. If the chip’s big or the tooth is weakened, your dentist may recommend a dental crown to protect it long-term.
So even though you might not see the damage, fixing it quickly saves you pain (and money) down the line.
Not really. Most chipped tooth repairs are done under local anesthesia, and for small chips, you might not even need it. The dentist smooths out the edge or applies resin for bonding - quick, easy, and painless.
For deeper chips that need a crown or root canal, there might be mild soreness afterward, but it’s easily managed with over-the-counter pain relief.
It depends on why you’re getting it fixed.
If it’s purely cosmetic, you’ll likely need to go private.
If you can’t get to a dentist right away:
These steps can help prevent further damage until you get professional care.
Once you’ve chipped a tooth, you’ll definitely want to keep it from happening again. The good news? A few small habits can make a big difference.
| Type | Purpose | Best Option |
|---|---|---|
| Cosmetic Repair | For looks only (e.g., front teeth chips) | Veneers or bonding |
| Restorative Repair | For strength and function | Crowns or fillings |
| Combination Repair | Cosmetic + functional | Veneer + bonding or crown |
If your chip affects how your teeth look and function, your dentist might mix treatments for the best long-term result.
If you have chipped teeth, here are the main points to remember:
With that, it’s a wrap.
A chipped tooth isn’t the end of the world. But it’s definitely not something you should ignore. Whether it’s a chipped back tooth that’s making it hard to chew or a small front chip that’s throwing off your smile, there’s always a way to repair a chipped tooth without breaking the bank.
The cost of fixing a chipped tooth really depends on how bad the damage is and the type of treatment you go for. The good news is, most fixes are quick, painless, and built to last.
If you handle it early, you’ll save yourself the extra cost (and discomfort) that comes with waiting too long. So, don’t stress, just get it checked and get your smile back.
Curated the best for your knowledge
Aligners at Night Only: How It Works & Who It’s ForSo, you’ve been thinking about straightening your teeth for a while. Maybe you’re busy. Maybe you hate the idea of having trays in your mouth all day. Maybe braces feel… well, old school. Here’s the thing: your teeth don’t just magically line up overnight. They need gentle pressure, consistent aligner wear, and a plan that fits your life. That’s where nightonly clear aligners come in. Not a miracle. Not a replacement for all-day braces in severe cases. But for a lot of people, they’re surprisingly effective. Now, overnight teeth aligners aren’t new, but they are trending. People want convenience, discreet wear, and minimal interference with daily life. And yes, some at-home brands, like Caspersmile, offer options specifically designed for nightwear. No fuss, no constant daytime trays, just a simple nighttime routine. But how does it actually work? And who’s it for? Let’s break it down.
Read More
Dental Care for Children & Teenagers: Tips, Cost & TreatmentWhen it comes to kids' dental care, it’s all about starting strong and staying consistent. The habits your child builds now - from brushing twice a day to visiting the dentist regularly - shape their smile for life. Even though baby teeth fall out, they play a big role in speech, chewing, and guiding adult teeth into place. Ignoring early dental problems can lead to bigger issues later, like crooked teeth, decay, or gum trouble in the teenage years. That’s why children’s dental care isn’t just about clean teeth - it’s about prevention, confidence, and comfort. Whether it’s their first check-up or their first set of braces, early care saves stress (and money) down the road. If you’ve ever worried about bad teeth in kids or wondered when to start pediatric dental care, this guide walks you through it all - from daily habits to treatment options and what it all costs in the UK.
Read More
Cost to Repair a Chipped Tooth: Guide & OptionsChipping a tooth can happen to anyone, one wrong bite on something hard, a fall, or even grinding your teeth too much at night. It might look or feel small, but that little chip can cause sensitivity, pain, or bigger damage if ignored. The good news? Fixing a chipped tooth doesn’t always mean breaking the bank. Let’s go through what really affects the chipped tooth repair cost, what options you’ve got, and how to know which one’s right for you.
Read MoreQuick Links

Heading