Aligner32, based in the U.S., provides affordable at-home clear aligner treatments with expert guidance and a fully remote process. Designed for mild to moderate alignment concerns, it’s a convenient and budget-friendly solution for achieving a straighter, more confident smile.


The Aligner32 treatment process is simple and begins with a free smile assessment. Once approved, customers can either order an impression kit or book a 3D scan through partner clinics. After submission, a customized 3D treatment plan is created by U.S.-licensed orthodontists. Once approved by the user, aligners are shipped directly to their doorstep.
With its budget-friendly pricing, remote treatment model, e-consultation, and licensed orthodontist support, Aligner32 is a reliable and trustworthy option for those looking to improve their smile within the comfort of their home.

At StraightMyTeeth, we're dedicated to delivering concise, accurate insights on dental issues and their solutions. Here's what sets us apart:

Our info is rooted in the latest scientific research from reputable sources.

Licensed dental pros, including orthodontists and dentists, vet every article for accuracy.

We rely on respected bodies like DBA, ADC and ADA for trustworthy content.

No external influence. Our commitment is to you, ensuring transparency in all we provide.
Aligner32 is an excellent choice for those seeking an affordable, dentist-approved alternative to traditional braces without the need for in-office visits.
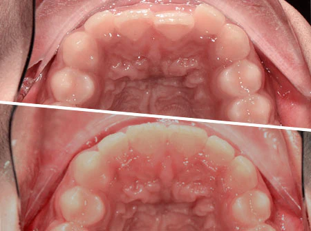
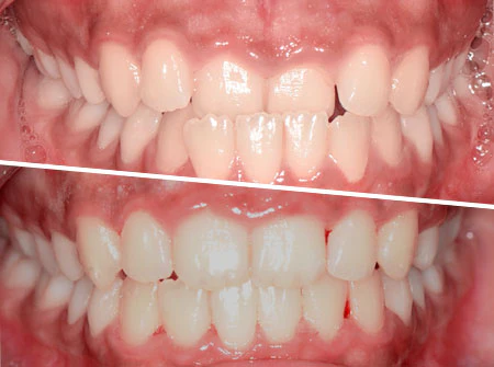
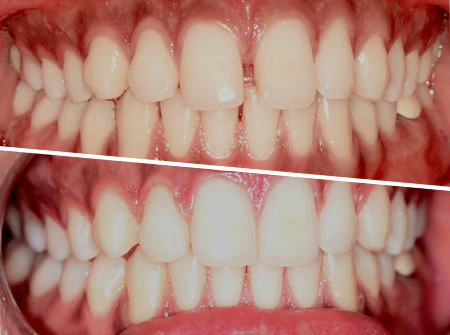
Aligner32 is ideal for individuals with mild to moderate dental concerns, including crowding, spacing, overbite, deepbite, crossbite, midline shift, and edge-to-edge issues. It's designed for people who prefer a remote, at-home treatment option rather than traditional braces or frequent dental visits.
Aligner32 is suitable for both teens and adults. However, if you have a more complex orthodontic case, it’s recommended to consult with a dentist or orthodontist for in-person treatment.



 
                 
                 
                 
                 
                 
                 
                 
                
Aligner32 offers two flexible aligner plans tailored to different wear preferences and lifestyles. The All-Day Plan requires 20–22 hours of daily wear, with an average treatment duration of 4 to 6 months. It is best for those seeking faster treatment results and visible progress in a shorter time frame.
The Night Wear Plan involves 8–10 hours of wear each night, with a treatment duration of 6 to 8 months, making it ideal for people with active daytime routines or those who prefer a more discreet treatment option while they sleep.
Both plans are available in single-arch (top or bottom) and dual-arch (top and bottom) options. Plans come with a free teeth whitening kit, retainers, and remote support from dental professionals. Designed for both affordability and flexibility, Aligner32’s plans give you control over your smile transformation journey.
Aligner32 offers a budget-friendly teeth straightening solution starting at just $1149. With flexible payment plans and zero-interest financing, you can begin your smile journey without breaking the bank, almost at $66 per month.
The brand also supports payments via HSA/FSA accounts for your treatment. With transparent pricing and no hidden fees, Aligner32 makes it easy for everyone to get started with at-home clear aligners.

All-Day Plan
Cost for Dual Arch: $749 (was $1,149)
Cost for Single Arch: $599 (was $1,149)

Night Wear Plan
Cost: $899 (was $1,549) for Dual Arch
Cost: $699 (was $1,249) for Single Arch

Retainers
Cost: $145 per set

Night Guard
Cost: $125 (was $150)

Sports Mouth Guard
Cost: $125 (was $150)

Aligner32 Teeth Whitening Kit
Cost: $59.99

UV Ultrasonic Cleaner
Cost: $39.99
Aligner32 offers dedicated support throughout your smile journey. If you have any questions, their team is available via email and chat to help resolve your concerns quickly and professionally. The brand has now initiated e-consultations with smile experts to give their customers greater clarity on the treatment.
On public review platforms such as Trustpilot, Aligner32 currently has a Rating of 4.3 by 361 customers


Rating of 2.5
by 80 customers

.png)
Great customer service with NewSmile! Lea patiently talked me through my impression-making session and even sent me additional molds at no cost to me to make sure the impressions I sent in were perfect. I can't wait to get my aligners!


.png)
Great customer service with NewSmile! Lea patiently talked me through my impression-making session and even sent me additional molds at no cost to me to make sure the impressions I sent in were perfect. I can't wait to get my aligners!


.png)
Great customer service with NewSmile! Lea patiently talked me through my impression-making session and even sent me additional molds at no cost to me to make sure the impressions I sent in were perfect. I can't wait to get my aligners!


.png)
Great customer service with NewSmile! Lea patiently talked me through my impression-making session and even sent me additional molds at no cost to me to make sure the impressions I sent in were perfect. I can't wait to get my aligners!

Aligner32 brings an affordable, dentist-directed clear aligner solution right to your doorstep. With flexible plans, convenient at-home treatment, and HSA/FSA compatibility, it’s designed for busy people who want results without the hassle. Whether you're aiming for subtle changes or a full smile transformation, Aligner32 offers a straightforward path to a straighter smile on your time and your terms.

Quick Links
