ClearCorrect’s high trimline, precision-engineered aligners are becoming a hot favorite of dentists across Australia. That said, like every other set of aligners, there are certain strong points of the brand and some limitations.
ClearCorrect is tailored for individuals seeking a fully clinician-directed aligner experience that blends digital precision with high-quality materials. Adults and older teens with moderate to complex alignment issues will benefit from the control ClearCorrect offers. And if you value comfort, alignment accuracy, and treatment shaped by expert planning, this system fits well.
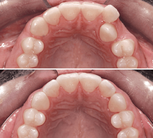
When it comes to treatable cases, they include deep bite, crowding, spacing, overjet, cross bite, open bite, edge to edge, and midline shift, among others.


